Forehead Contouring Type III: A Key Component of Facial Feminization Surgery (FFS).
Facial feminization surgery (FFS) is a set of procedures that are designed to soften and feminize the features of the face. One of the key components of FFS is forehead contouring type 3. This procedure is used to create a more feminine forehead shape by reducing the size of the forehead and creating a more curved, rounded shape.
‘The forehead is an important feature of the face and plays a significant role in the overall appearance of the face.’
In many cases, individuals who are seeking FFS have a forehead that is large, square or angular in shape, which can make the face appear masculine. Forehead contouring type 3 is used to address these concerns by reducing the size of the forehead and creating a more feminine shape.
![]() |
![]() |
![]() |
![]() |
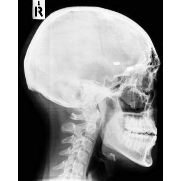
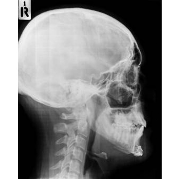
| Before | After |
Procedure:
The procedure for forehead contouring type 3 typically involves making an incision along the hairline. The surgeon will then remove a section of the forehead bone to reduce the size of the forehead. The remaining bone is then reshaped to create a more curved, rounded shape. In some cases, the surgeon may also use a technique called osteotomy, which involves cutting and repositioning the forehead bone to create a more feminine shape.
Once the reshaping is done, the skin is then repositioned over the new bone shape, the incision is closed and the patient is placed in a bandage or a surgical garment to protect the area. In some cases, the surgeon may also use a technique called hairline lowering, which involves moving the hairline forward to create a more feminine appearance.
‘Forehead contouring type 3 is one of the key components of FFS and can help to create a more feminine and balanced appearance.’
In conclusion, Forehead Contouring Type 3 is one of the key components of Facial Feminization Surgery (FFS) which helps to create a more feminine and balanced appearance. It can be performed in combination with other FFS procedures and can be done as a standalone procedure, it's crucial to select a surgeon with expertise in performing FFS procedures. And also be aware of the recovery time and the instructions to follow during the recovery period.



